C.so Buenos Aires, 9 - 20124 Milano

Trattamento dei disturbi dell'articolazione
temporo mandibolare

Con il termine “gnatologia” si intende lo studio dei disturbi dell’articolazione Temporo Mandibolare; in realtà, nel momento in cui compaiono questi disturbi, il paziente riporta una serie di problemi in distretti apparentemente lontani dall’apparato dentario.

La gnatologia trova pertanto una naturale relazione con lo studio e l’analisi delle più ampie problematiche posturali.

 

 

La Gnatologia, considerata branca di nicchia dell’odontoiatria, dovrebbe al contrario essere la base di partenza di qualsiasi analisi e programma di riabilitazione. Le nuove tecnologie offrono la possibilità di uno studio scientifico della biomeccanica del sistema masticatorio e l’integrazione di questi esami con quelli clinici e con quelli posturometrici completano l’inquadramento dei nostri pazienti in una visione integrata delle relazioni tra i diversi organi ed apparati.

Lo studio integrato di aspetti apparentemente lontani, ma strettamente correlati tra di loro nelle reazioni corporee, ci ha consentito di ampliare la interpretazione dell’origine dei disturbi, proponendo soluzioni terapeutiche più articolate della sola “sistemazione della bocca”.

Obiettivo del nostro studio è analizzare e valutare tutti questi fenomeni nell’ottica della prevenzione e della cura, per identificare i fattori di rischio o intervenire sugli aspetti del sistema che possono essere corretti.

 


Lo studio della genesi delle malocclusioni ha evidenziato come queste siano dovute al venir meno della capacità di compensazione e di adattamento del sistema occlusale rispetto a discrepanze insorte durante lo sviluppo e la crescita dei piani occlusali posteriori.

Il loro orientamento, se attentamente programmato, è in grado di prevenire in età infantile o risolvere malocclusioni nell’adulto che, diversamente, avrebbero trovato una soluzione solo attraverso la chirurgia.

La malocclusione può pertantoleft essere studiata ed analizzata in termini numerici, correlando l’inclinazione dei piani occlusali alle misure antropometriche del cranio ed alle inclinazioni sia delle eminenze articolari che all’inclinazione delle guide funzionali dei denti (guida canina).


 

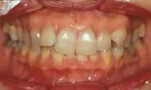
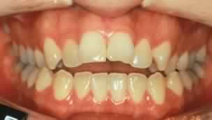
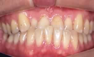
Le manifestazioni cliniche ed i disturbi che vengono conseguenti la malocclusione, sono fenomeni a cascata che possono essere osservati e documentati:

  • Abrasioni degli elementi dentari sottoposti a trauma
  • Recessioni gengivali
  • Recessioni parodontali, fino alla Malattia Parodontale o piorrea
  • Disfunzione dell’articolazione con Lussazioni del menisco dell’articolazione temporo mandibolare
  • Tensioni a carico della muscolatura di pertinenza eventualmente irradiate alle catene muscolari posturali
  • Cefalee, Cervicalgie
 

 

Tutti i nostri casi vengono pertanto sottoposti ad uno studio completo con una serie di esami: Esame assiografico per documentare le dinamiche articolari e contemporaneamente per rilevare le inclinazioni delle eminenze condilari.

 

Esame cefalometrico da effettuarsi sulla radiografia del profilo del cranio per correlare le inclinazioni delle guide incisali e canine con quelle delle eminenze articolari precedentemente rilevate dall’assiografia. Lo stesso esame ci fornirà le caratteristiche antropometriche del caso e fornirà ulteriori dati per definire un piano di cura anche in termini ortodontici.

 

  • Valutazione clinica dei diversi muscoli e legamenti coinvolti nella funzione in esame con l’identificazione dei vettori muscolari.
  • Rilievo di modelli di studio delle arcate dentarie che andranno montati su un articolatore individuale impostato sui valori assiografici, per uno studio funzionale extraorale.

 

Tutti i dati assiografici e cefalometrici sono elaborati da un software dedicato che consente di rilevare in modo dettagliato tutte le caratteristiche antropometriche e funzionali del sistema cranio mandibolare.

Esiste un’ armonia geometrica che consente od ostacola il buon funzionamento del sistema: la sintesi del nostro studio è quella di identificare ed interpretare questa geometria funzionale.

Solo una corretta diagnosi, formulata in base ad una accurata raccolta di dati, consente di impostare un piano di cura che consegua non solo dei risultati funzionalmente ottimali, ma anche stabili nel tempo.

Non solo cura dei denti ma, di tutto quello che comunque ruota attorno ai denti, cioè l’organismo in toto, per non trasferire sulle strutture di supporto traumi e tensioni responsabili di ulteriori patologie.