C.so Buenos Aires, 9 - 20124 Milano

Ortodonzia

trattamento delle malocclusioni
E dei morsi aperti - tecnica MEAW

L’ortodonzia si propone di prevenire e correggere le malocclusioni ed impiega diverse tecniche in base all’età ed al tipo di malocclusione. Durante la crescita previene i disallineamenti dentali e corregge le direttrici di crescita dei mascellari. Tra le affezioni scheletriche più frequenti nel bambino che trovano nell’ortodonzia una soluzione, la contrazione del mascellare superiore, spesso condizionata da una deglutizione disfunzionale e le alterazioni di crescita della mandibola.

Gli apparecchi ortodontici vengono selezionati dall’ortodontista in relazione allospecifico obbiettivo di trattamento.

Le terapie ortodontiche vengono precedute da un’analisi clinica del complesso sistema muscolare ed articolare che guida ed orienta la mandibola nello spazio, mediante analisi strumentale e funzionale dell’articolazione temporo mandibolare e cefalometrica sul profilo del cranio.

L’analisi funzionale, oltre alla valutazione clinica muscolare, prevede lo studio dei tracciati assiografici delle articolazioni temporo mandibolari per corredare lo studio cefalo metrico con le inclinazioni delle eminenze condilari e stabilire le direttrici di crescita, nei casi in evoluzione o le determinanti strutturate negli adulti per ottimizzare ed individualizzare la terapia ortodontica.

Possiamo schematizzare le malocclusioni in 4 gruppi fondamentali:

1.Malocclusioni di Seconda Classe, dove il mascellare superiore è più avanzato:

2. Malocclusioni di Terza Classe dov’è la mandibola che prevale:

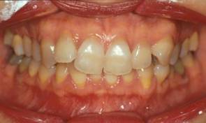
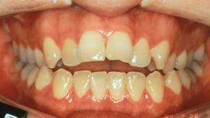
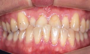
3. Morsi aperti (Open Bite):

4. Malocclusioni Latero deviate e Morsi Incrociati (Cross Bite):

 

L’introduzione della tecnica MEAW, proposta dal giapponese Sato, che non si limita alla ricerca dell’allineamento bidimensionale delle arcate dentarie ma, attraverso l’orientamento tridimensionale dei piani occlusali consente interventi impensabili per le tecniche convenzionali.

Lo studio della genesi delle malocclusioni ha evidenziato come queste siano dovute al venir meno della capacità di compensazione e di adattamento del sistema occlusale rispetto a discrepanze insorte durante lo sviluppo dei piani occlusali posteriori. Il loro orientamento, se attentamente programmato, è in grado di risolvere gravi malocclusioni che, diversamente, avrebbero trovato una soluzione solo attraverso la chirurgia.

I tempi di trattamento, mediante la tecnica MEAW, a fronte di un maggior impegno sia da parte del paziente che dell’operatore, sono più contenuti rispetto le tecniche tradizionali, spesso dimezzandone i tempi, dai tradizionali 24 mesi ai 13, 14 mesi, con risultati stabili nel tempo.

Riportiamo alcuni esempi di casi per i quali la tecnica MEAW è particolarmente indicata: